Zubní kámen pod dásní: jak ho odstranit efektivně a bezpečně

pro 5, 2025

Zubní kámen pod dásní: jak ho odstranit efektivně a bezpečně

Zubní kámen pod dásní: jak ho odstranit efektivně a bezpečně

Zubní kámen pod dásní je jedna z nejčastějších příčin zánětů dásní, krvácení, zápachu z úst a dokonce ztráty zubů. Mnoho lidí si myslí, že stačí čistit zuby dvakrát denně a vše bude v pořádku. Ale když se kámen začne tvořit přímo pod dásní, klasické čištění už nestačí. Tenhle kámen není vidět, nevypadá jako ten bílý nebo žlutý nános na zubech. Je skrytý, agresivní a postupně ničí kost, která drží zuby na místě.

Co je vlastně zubní kámen pod dásní?

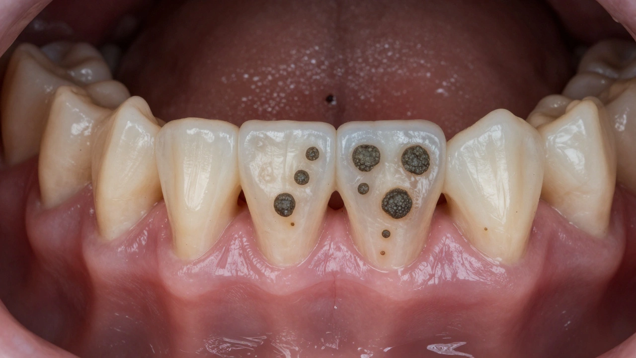
Zubní kámen pod dásní, nebo také subgingivální kámen, je tvrdý nános bakterií a minerálů, který se tvoří na povrchu zubu pod hranicí dásně. Vzniká z plaku - tenké vrstvy bakterií, která se každý den tvoří na zubech. Pokud ho neodstraníte během 2-3 dnů, začíná mineralizovat. A když se dostane pod dásní, je tam zaseklý jako beton v trubce - ani čištění zubní kartáčkem, ani nití ho už nedostanou.

Pod dásní se kámen tvoří nejčastěji u zubů v oblasti spodních řezáků a horních molárů. Tam, kde je slina nejvíce koncentrovaná a kde je obtížnější dostat se kartáčkem. Když se kámen roztahuje pod dásní, vytváří tzv. parodontální kapsli - prostor, kde se hromadí bakterie a zánět. To vede k hlubokým zářezům mezi zubem a dásní, které se jmenují parodontální kapsle. Čím hlubší jsou, tím větší je riziko ztráty zubu.

Proč je tohle tak nebezpečné?

Největší chyba je přehlížet příznaky. Mnoho lidí si myslí, že krvácení dásní je normální, když si čistí zuby. Ale to není. Krvácení je první varovný signál. Pokud dásně krvácí, zápach z úst je stálý, nebo se cítíte, že máte zuby „větší“ než dřív - jde o příznaky pokročilého zubního kamene pod dásní.

Pod dásním kamenem se množí bakterie, které produkují toxiny. Tyto toxiny ničí nejen dásně, ale i kost, která drží zub. A ta kost se nevrátí. Jakmile ji ztratíte, zub se začne hýbat. A když se začne hýbat, není už jen otázka, jak ho odstranit - ale jestli ho vůbec můžete zachránit.

Studie z Journal of Clinical Periodontology z roku 2024 ukázaly, že 78 % dospělých ve věku 35-55 let má alespoň jednu oblast poddásňového kamene, která už způsobila ztrátu kosti. A většina z nich si toho vůbec nevšimla, dokud nezačaly zuby padat.

Co můžete dělat doma?

Domácí metody jsou jen první linie obrany. Nejsou schopné odstranit kámen pod dásní, ale mohou zabránit jeho dalšímu růstu.

  • Čištění zubní kartáčkem s měkkými štětinami - používejte kartáček s jemnými štětinami a čistěte každý zub zvlášť, zvláště v oblasti dásní. Dávejte pozor na úhel - kartáček by měl být v úhlu 45 stupňů k dásni.
  • Mezizubní kartáčky nebo nitě - pokud máte mezery mezi zuby, používejte mezizubní kartáčky. Nitě pomáhají, ale pod dásní se dostanou jen o něco víc než kartáček. Pro hluboké kapsle nejsou dostatečné.
  • Antibakteriální ústní vody - ty s chlorhexidinem nebo cetylpyridinium chloridem snižují počet bakterií. Používejte je jen krátce - ne déle než 2 týdny po sobě - jinak můžou způsobit zbarvení zubů.
  • Pravidelné vyměňování kartáčku - každé 2-3 měsíce. Poškrábané štětiny nečistí, jen roztírají plak.

Nezapomeňte: žádná domácí metoda neodstraní kámen pod dásní. To je jako chtít odstranit kámen z betonové zdi štětcem - nemožné. A pokud to zkoušíte, jen zhoršíte zánět.

Jak se odstraní zubní kámen pod dásní?

Odstranění poddásňového kamene je odborná procedura, kterou provádí zubní hygienička nebo parodontolog. Nazývá se skalpelování a vyhlazování kořenů (nebo anglicky scaling and root planing).

Procedura probíhá ve dvou fázích:

  1. Skalpelování - pomocí speciálních nástrojů (ultrazvukového aparátu a ručních skalpelů) se odstraní kámen i plak z povrchu zubu i z kořenů pod dásní. Ultrazvukový nástroj vibruje a odtrhává kámen bez nutnosti řezání. Ruční nástroje se používají v těžko dostupných místech.
  2. Vyhlazování kořenů - po odstranění kamene se kořen zubu vyhladí, aby byl hladký. Když je povrch hladký, dásně se mohou znovu přilepit k zubu a způsobí to uzavření kapsle.

Procedura trvá obvykle 1-2 hodiny, ale může být rozdělena do dvou nebo tří návštěv, pokud je kámen rozšířený. Během ní se obvykle používá místní anestézie, protože je to nepříjemné, ale nebolestivé. Po proceduře můžete cítit citlivost zubů na studené a teplé - to je normální a mizí během 1-2 týdnů.

Nejlepší výsledky se dosahují, když se procedura provede včas - tedy ještě předtím, než se kost začne výrazně ničit. Pokud už je kost ztracena, může být nutná další léčba, jako je například regenerace kosti nebo transplantace tkáně.

Co se stane, když to necháte být?

Když necháte zubní kámen pod dásní být, proces je nezastavitelný. Nejprve se dásně odtrhávají od zubu - vznikají hluboké kapsle. V nich se hromadí bakterie, které produkují plyn a kyseliny. To způsobuje zápach z úst, který nezmizí ani po čištění zubů. Pak se začne ničit kost. Když ztratíte 30-40 % kosti, zub se začne hýbat. Když ztratíte 60 %, zub je ztracený - nejde ho zachránit.

Nejhorší je, že zánět pod dásní nezůstává jen v ústech. Bakterie se dostávají do krve a mohou přispívat k onemocněním srdce, cukrovce nebo i předčasnému porodu. Studie z The Lancet v roce 2023 ukázaly, že lidé s pokročilou parodontitidou mají o 40 % vyšší riziko srdečního infarktu.

Nechat to být není jen otázka zubů. Je to otázka celkového zdraví.

Zubní hygienička odstraňuje kámen pod dásní ultrazvukovým nástrojem v klinice.

Kdy je třeba jít k zubnímu lékaři?

Nechte se vyšetřit, pokud:

  • Dásně krvácí při čištění nebo i bez něj
  • Máte stálý zápach z úst, i když čistíte zuby
  • Cítíte, že zuby se vám hýbají
  • Nebo se dásně vrací - zuby vypadají „delší“

Nemusíte čekat, až se to stane závažnější. Doporučuje se jednou ročně navštívit zubní hygieničku, ale pokud máte rizikové faktory - kouření, cukrovka, těhotenství, dědičná predispozice - měli byste chodit každé 3-4 měsíce.

Jak předcházet zubnímu kamenu pod dásní?

Nejlepší léčba je prevence. A to nejen čištěním.

  • Čistěte zuby dvakrát denně - nejen ráno a večer, ale i správně. Nejen škrábat, ale čistit podél dásně.
  • Mezizubní čištění - alespoň jednou denně. Používejte nit nebo kartáček - podle toho, co vám lépe sedne.
  • Nečistěte zuby ihned po jídle - pokud jste jedli něco kyselého (ovoce, čaj, limonáda), počkejte 30 minut. Kyselina způsobí, že sklovině zubů je citlivější - čištění ihned po jídle je jako škrábat zubní sklovinu.
  • Přestanete kouřit - kouření je největším rizikovým faktorem pro parodontitidu. Kouření způsobuje, že dásně méně krvácí - ale to neznamená, že je zdravé. Znamená to, že zánět je skrytý a postupuje bez příznaků.
  • Pravidelné kontroly - každých 6-12 měsíců. Zubní hygienička uvidí, co vy nevidíte - a zvládne odstranit plak, než se změní v kámen.

Co se stane po odstranění kamene?

Po odstranění kamene se dásně začnou hojit. V prvních dnech můžete cítit citlivost, lehký otok nebo nepříjemný pocit. To je normální. Dásně se začnou přilepovat zpět k zubu - to je cíl. Po 4-6 týdnech by měly být méně krvácivé a pevnější.

Po proceduře je důležité dodržovat přísnou hygienickou péči. Pokud se vrátíte ke starým návykům, kámen se vrátí za 3-6 měsíců. Většina lidí, kteří nechodí na pravidelné kontroly, má problém znovu - a tentokrát je už léčba složitější.

Nezapomeňte: odstranění kamene není konec. Je to začátek nového způsobu péče o ústa.

Je možné odstranit zubní kámen pod dásní doma?

Není. Žádné domácí nástroje - ani nástroje z internetu, ani „zubní kámen odstranění“ za 299 Kč - nejsou schopné dosáhnout pod dásňovou hranici. Použití těchto nástrojů může způsobit zranění dásní, krvácení, infekci nebo dokonce ztrátu zubu.

Neexistuje žádná bezpečná domácí metoda pro odstranění poddásňového kamene. Pokud někdo tvrdí opak - lže. Nebo neví, o čem mluví.

Je to jako chtít odstranit špínu z vnitřní strany koule - nepřístupné místo. Jen odborník s profesionálním vybavením to dokáže.

Zubní kořen s ničenou kostí a kamenem, symbolizující poškození a možné hojení.

Je odstranění kamene bolestivé?

Ne. Pokud je procedura provedena správně, je bezbolestná. Používá se místní anestézie, která znehybní oblast. Někteří lidé cítí jen tlak nebo vibrace - ale ne bolest.

Po proceduře může být citlivost na studené a teplé, ale to je dočasné. Pokud máte bolest po týdnu - vraťte se k lékaři. To není normální.

Je odstranění kamene pokryto zdravotním pojištěním?

Ano. V České republice je odstranění zubního kamene pod dásní (scaling a root planing) součástí povinného zdravotního pojištění. Pokud máte základní pojištění, platíte jen poplatek za návštěvu - obvykle 100-200 Kč. Samotná procedura je pokryta.

Pokud máte doplňkové pojištění, můžete mít nárok na více návštěv nebo na pokrytí léků nebo antiseptik.

Co dělat, když jste měli kámen a teď se cítíte lépe?

Pokračujte v péči. Nezapomeňte na pravidelné kontroly. Kámen se může vrátit - a rychleji, než si myslíte. Pokud jste měli kámen, potřebujete kontroly každých 3-4 měsíce, ne každých 12.

Přemýšlejte o péči o ústa jako o pravidelném údržbě auta. Když necháte auto bez servisu, zlomí se. Stejně tak zuby. Nečekáte, až se vám zastaví motor - děláte servis předem.

Co se stane, když se kámen vrátí?

Je to běžné. Pokud nezměníte návyky - čištění, stravu, kouření - kámen se vrátí za 6-12 měsíců. A tentokrát bude hlubší, větší, a léčba bude náročnější. Může být potřeba chirurgie, transplantace kosti nebo dokonce odstranění zubu.

Nejhorší je, že lidé často přestávají chodit k zubnímu lékaři, když se cítí lépe. Ale právě tehdy je největší riziko.

Je možné odstranit zubní kámen pod dásní doma?

Ne. Žádné domácí nástroje, ani kartáčky, nitě nebo ústní vody nejsou schopné odstranit kámen pod dásní. Pouze odborník s profesionálním vybavením může kámen odstranit bez poškození dásní a zubů. Pokoušet se to udělat doma může vést k závažným zraněním a infekcím.

Je odstranění zubního kamene pod dásní bolestivé?

Ne, pokud je provedeno správně. Během procedury se používá místní anestézie, takže nečítáte bolest. Po ní může být citlivost na teplé a studené, ale to trvá jen několik dní. Pokud máte bolest déle než týden, je potřeba se vrátit k lékaři.

Kdy je třeba jít k zubnímu hygieničce?

Pokud krvácíte dásně, máte zápach z úst, nebo cítíte, že zuby se vám hýbají. Ale i bez příznaků doporučujeme navštívit hygieničku jednou ročně. Pokud máte rizikové faktory - kouření, cukrovka, dědičnost - choděte každé 3-4 měsíce.

Je odstranění kamene pokryto zdravotním pojištěním?

Ano. V České republice je odstranění zubního kamene pod dásní součástí povinného zdravotního pojištění. Platíte jen poplatek za návštěvu (100-200 Kč), samotná procedura je pokryta. Pokud máte doplňkové pojištění, můžete mít nárok na více návštěv.

Co se stane, když nechám kámen být?

Kámen pod dásní ničí kost, která drží zuby. Bez léčby se dásně odtrhávají, vznikají hluboké kapsle, zuby se hýbou a nakonec padají. Zánět také zvyšuje riziko srdečních onemocnění a cukrovky. Nechávání toho být není jen otázka zubů - je to otázka celkového zdraví.

Napsat komentář