Zubní kámen pod dásní: jak ho odstranit bez námahy a neztratit zuby

bře 20, 2026

Zubní kámen pod dásní: jak ho odstranit bez námahy a neztratit zuby

Zubní kámen pod dásní: jak ho odstranit bez námahy a neztratit zuby

Vyhodnocení rizika zubního kamene

Tento nástroj vám pomůže posoudit, jak velké je riziko vzniku zubního kamene pod dásní na základě vašich zubních zvyků. Výsledek vám poradí, co byste měli dělat, aby jste zůstali bez zubního kamene.

Vaše výsledky

Klikněte na tlačítko "Vyhodnotit riziko", abyste viděli své hodnocení.

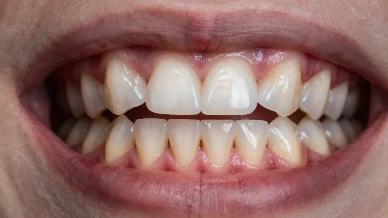
Stále se češete zuby, myjete si je dvakrát denně, používáte nit a dokonce i ústní vodík? A přesto vám někdo řekne: „Máš zubní kámen pod dásní.“ Co to vlastně znamená? A proč to nevidíte, když se podíváte do zrcadla? Zubař vám to ukáže a vy se divíte: „Jak to tam může být, když jsem se tak pečlivě staral?“

Zubní kámen pod dásní není jen „špína“. Je to tvrdý, vápenitý nános, který se vytváří z plaku, když ho neodstraníte včas. A právě pod dásní je nejnebezpečnější místo. Tam ho nevidíte, tam ho nečistíte, ale tam se přímo napíná na kost, která drží zuby. A když se tam kámen hromadí, začne dásně odlupovat od zubu. A to je začátek závažnějších problémů - zánětů, krvácení, až ztráty zubů.

Co je to zubní kámen pod dásní a jak se vytváří?

Zubní kámen se neobjeví najednou. Vše začíná plakem - tenkou, lepkavou vrstvičkou bakterií, která se na zubech tvoří během několika hodin po jídle. Když ho neodstraníte čištěním, začne vápenitět. Kalcium a fosfáty ze slin se k němu přilepí a vytvoří tvrdý nános. To je zubní kámen. A když se to děje pod dásní, hrozí vážnější věc: paradontitida je zánět tkání kolem zubu, který může vést ke ztrátě zubu.

Pod dásní se kámen tvoří hlavně u zubů, které se dotýkají jazyka nebo slinných žláz - nejčastěji u spodních řezáků a vnitřní strany horních molárů. Tam je méně pohybu, méně slin, a víc bakterií. A protože toto místo není vidět, lidé si myslí, že je všechno v pořádku. Až přijde zubař a řekne: „Máte kámen až do hloubky 5 mm.“

Proč ho nelze odstranit doma?

Někteří lidé zkouší odstranit kámen doma: škrábat ho nožem, používat zubní kartáček s tvrdými štětinami, nebo „odškrábat“ ho s vodíkem. To všechno je nebezpečné. Tvrdý kámen pod dásní se neodstraní kartáčkem. Neodstraní ho ani zubní nit. A když se to snažíte udělat s nástroji, které nejsou určené pro to, můžete poškodit dásně, zubní sklo nebo dokonce zlomit zub.

Zubní kámen pod dásní je jako kámen v ledové krajině - neodstraníte ho rukama. Potřebujete speciální nástroje. Zubař používá ultrazvukový skraber nástroj, který pomocí vysokofrekvenčních kmitů rozpadá kámen bez poškozování zubu a poté ruční skraber tenký nástroj, který vyčistí zbytky v úzkých prostorech pod dásní. Tyto nástroje jsou navržené tak, aby nezranily dásně, ale efektivně odstranily kámen. A to jen v odborných rukách.

Co se stane, když to ignorujete?

Když kámen pod dásní necháte být, dásně začnou odlupovat. Vzniká tzv. paradontální kapsa prostor mezi zubem a dásní, který se zvětšuje, když kámen neodstraníte. Do této kapsy se nasouvají další bakterie, zápach, a často i hnis. Dásně začnou krvácet, zuby se rozchvějí, a po několika letech můžete ztratit zub - a to i přesto, že jste ho nezničili kávou nebo cukrem.

Podle studie z České společnosti pro parodontologii organizace, která sleduje výskyt onemocnění dásní v ČR z roku 2024, 68 % dospělých v Česku má alespoň mírný zubní kámen pod dásní. A z toho 22 % už má ztrátu kosti kolem zubu. To znamená: každý pátý člověk, který si myslí, že má „jen trochu kamenů“, už má poškozenou kost - a to bez bolesti. Protože paradontitida často nebojí.

Průřez čelistí ukazující tvorbu zubního kamene pod dásní a jeho vliv na kost.

Jak to odstranit bez námahy?

Nemusíte se bát. Odstranění zubního kamene pod dásní není bolestivé, pokud to dělá odborník. Dnes se používají moderní techniky, které jsou téměř bezbolestné. Zubař nejprve aplikuje mírné místní zneužití - jen na dásně - a poté použije ultrazvuk. Během 30-60 minut máte kámen odstraněný, dásně jsou vyčištěné, a vy jste zpět doma.

Neexistuje žádný „bez námahy“ způsob, jak to odstranit doma. Ale existuje způsob, jak to odstranit bez bolesti, bez rizika a bez dlouhé návštěvy. Stačí:

  1. Navštívit zubaře jednou za 6-12 měsíců - i když nic nebojíte.
  2. Nečekat, až dásně krvácí. Krvácení je příznak, že už je pozdě.
  3. Používat jemný kartáček a nit denně - to zpomalí tvorbu plaku.
  4. Používat antiseptickou ústní vodu s chlorhexidinem, pokud vám zubař doporučí - ale jen na krátkou dobu.

Neexistuje žádný „zázračný zubní paste“ nebo „odstranění kamenů v 5 minut“. To je marketing. Pravda je jednoduchá: pravidelná prevence = žádný kámen = žádné ztráty.

Co dělat po odstranění?

Po odstranění kamenů je důležité udržet dásně v čistotě. Dásně jsou jako kůže - když je zraníte, potřebují čas na hojení. Několik dní po očištění můžete cítit citlivost, ale to je normální. Nezabíjejte to návštěvou zubaře. Naopak - zvyšte péči.

  • Čistěte zuby dvakrát denně, ale jemně - třeba s kartáčkem s měkkými štětinami.
  • Používejte nit každý večer - přesně pod dásní, kde se kámen tvoří.
  • Nežijte na cukru a sladkých nápojích - sladké jídlo je potrava pro bakterie, které dělají kámen.
  • Pijte více vody - sliny vám pomáhají vyplachovat bakterie.

Pokud máte časté krvácení dásní, zvážte kontrolu u parodontologa - specialisty na dásně. Oni mohou provést hlubší očištění a navrhnout individuální plán péče.

Pacient v křesle u zubaře s přehledem skrytého poškození dásní a kosti.

Je to drahé?

Ne. Očištění zubního kamene pod dásní v Česku stojí mezi 800 a 1 500 Kč, v závislosti na množství kamenů a místě. To je méně než cena jednoho zubního plomby. A pokud to necháte, můžete ztratit zub - a potom bude stát tisíce. Nebo vás bude stát náhradní zub, implantát, nebo ztráta schopnosti jíst normálně.

Největší náklad není peníze. Je to čas, který jste ztratili, když jste se báli jít k zubaři. A bolest, kterou jste si způsobili sami.

Nejčastější otázky

Můžu odstranit zubní kámen pod dásní doma?

Ne. Zubní kámen pod dásní je příliš tvrdý a přístup k němu je příliš úzký. Domácí nástroje (jako špachtle, nože, nebo silné kartáčky) mohou způsobit zranění dásní, poškození zubního skla nebo dokonce ztrátu zubu. Pouze zubař má správné nástroje a znalosti, aby to udělal bez rizika.

Proč dásně krvácí, když jsem se tak pečlivě čistil?

Krvácení dásní je často příznak zánětu způsobeného zubním kamenem pod dásní. I když se čistíte, kámen zůstává „pod hladinou“ a neodstraníte ho kartáčkem. Bakterie v něm vyvolávají zánět, který způsobuje krvácení. To není chyba vaší hygieny - je to následek neodstraněného kameně.

Je odstranění zubního kamene bolestivé?

Většinou ne. Moderní ultrazvukové nástroje pracují jemně a většina pacientů necítí nic nebo jen mírný tlak. Pokud máte citlivé dásně, zubař může použít mírné místní zneužití. Někteří lidé se obávají bolesti, ale ve skutečnosti je to často jediná příležitost, kdy se cítíte lépe po návštěvě zubaře.

Kolik času trvá odstranění zubního kamene?

Obvykle 30-60 minut. Pokud máte jen mírný kámen, stačí jedna návštěva. Pokud je kámen rozsáhlý, může být potřeba dvě nebo tři návštěvy, aby se dásně nezatěžovaly. Zubař vám vždy vysvětlí, co očekávat.

Můžu předcházet vzniku zubního kamene pod dásní?

Ano. Nejlepší způsob je denní čištění zubů a nití, omezení cukru a pravidelné návštěvy zubaře každých 6-12 měsíců. I když máte dobré zuby, kámen se může tvořit pod dásní - proto je prevence klíčová. Nečekání na bolest je nejlepší strategie.

Co dělat dál?

Když už jste odstranili kámen, nevraťte se do starého režimu. Většina lidí se po očištění cítí lépe, ale brzy opět zapomene na nit, nebo začne jíst sladké. A kámen se vrátí. A to je ten největší omyl.

Nejlepší způsob, jak udržet zuby zdravé, je pravidelnost. Neznamená to žádnou revoluci. Jen:

  • Čistěte zuby dvakrát denně - ráno a večer.
  • Používejte nit každý večer - nejen když vám někdo řekne, že máte kámen.
  • Jděte k zubaři i když nic nebojíte - alespoň jednou za rok.
  • Pijte vodu místo limonády.
  • Pamatujte: zubní kámen pod dásní nebojí. A neztratíte zub, dokud nezačnete dělat něco.

Vaše zuby nejsou jen „nástroj na jídlo“. Jsou to kameny, které vás drží. A když se zhroutí, nezískáte je zpět. Ale pokud je budete chránit, můžete je mít celý život - bez bolesti, bez návštěv, bez náhrad.

Napsat komentář