Který zub má nejdelší kořen a proč to vůbec důležité je?

led 4, 2026

Který zub má nejdelší kořen a proč to vůbec důležité je?

Který zub má nejdelší kořen a proč to vůbec důležité je?

Otestujte své znalosti o zubních kořenech

Otestujte své znalosti

Odpovězte na následující otázky a zjistěte, jak dobře znáte důležitost zubních kořenů.

Otázka 1 z 5

Když se podíváte do zrcadla a otevřete ústa, nevidíte většinu zubu. Ta část, která je pod dásní, je vlastně ta nejdůležitější. A právě kořen zubu je ten, co ho drží na místě, přenáší tíhu žvýkání a chrání nervy a cévy. Ale který zub má nejdelší kořen? A proč to má význam, když se zub opotřebovává nebo poškozuje?

Zubní kořen není jen „podpora“ - je to základ celého zubu

Kořen zubu není jen taková „nožička“, která ho drží v kosti. Je to komplexní struktura, která obsahuje zubní kanál, v němž běží nervy a cévy. Ty dodávají zubu život - krevní oběh mu přináší živiny, nervy mu říkají, kdy je něco špatně. Když kořen přijde na škodu, zub ztrácí stabilitu a může se ztratit. A právě proto je důležité vědět, který zub má nejdelší kořen - protože ten je nejvíce zranitelný, ale zároveň nejvíce klíčový pro celkovou funkci úst.

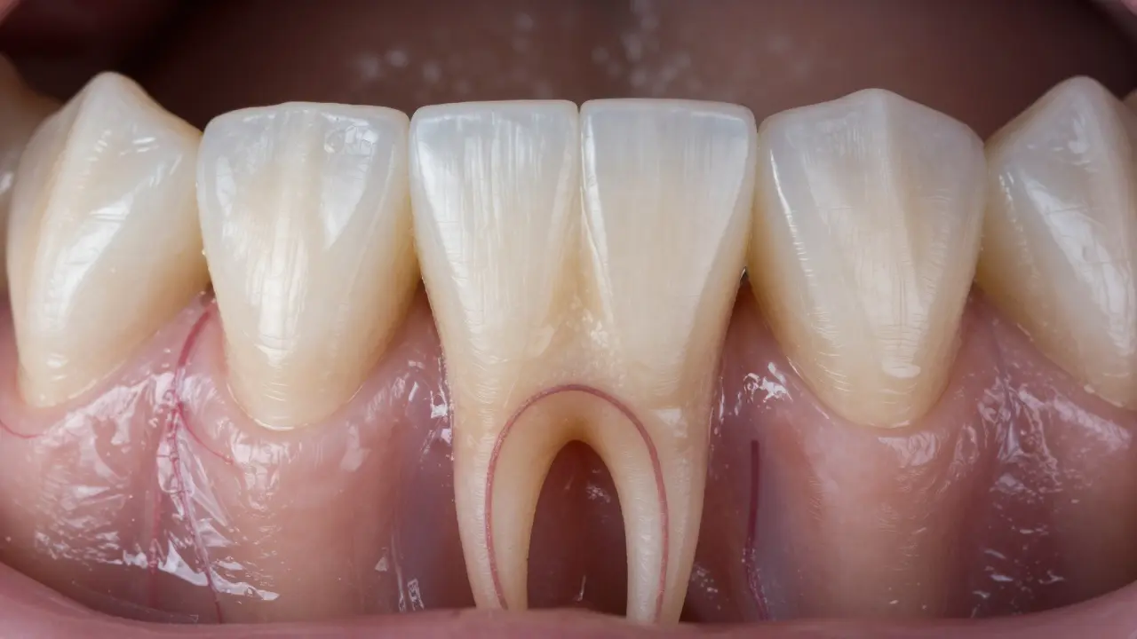
Nejdelší kořen má horní řezák - konkrétně centrální řezák

Mezi všemi zuby v čelisti má horní centrální řezák nejdelší kořen. V průměru měří mezi 13 a 16 milimetrů. To je více než dvojnásobek délky kořene některých malých molárů. Proč právě on? Protože slouží jako „nůž“ - rozřezává potravu, působí na ní velkou sílu. Když jíte jablko nebo chleba, právě tyto zuby berou na sebe největší zátěž. A proto se evolučně vyvinuly s dlouhým, silným kořenem, který je schopen přenášet tyto síly do čelistní kosti bez zlomení.

Kořen tohoto zubu je nejen dlouhý, ale také trochu zakřivený - často se vytváří mírný oblouk směrem ke špičce. Tato křivka ho zajišťuje proti lomu při bočních silách. V některých případech může být kořen dokonce delší než samotná korunka zubu. To znamená, že pokud se poškodí kořen, zub už nemůže být jednoduše „nalepen“ nebo zasazený zpět. Je potřeba celkově přemýšlet o jeho zachování.

Proč je délka kořene důležitá při opravě opotřebovaných zubů?

Když zub opotřebíte - třeba kvůli bruxismu, kyselým nápojům nebo špatné hygieně - nejprve se ztrácí sklovina. Pak přichází na řadu dentin. A pokud se poškození dostane až ke kořeni, situace se zkomplikuje. Většina lidí si myslí, že když je zub „zničený“, musí se vytrhnout. Ale to není pravda. Pokud je kořen stále zdravý, může být zachráněn.

Zde přichází na řadu právě délka kořene. U horního centrálního řezáku, který má dlouhý kořen, je větší šance, že se dá zub zachránit i po velkém poškození korunky. Dlouhý kořen umožňuje vložit pevný vložek nebo pilíř, který pak podpoří novou korunku. Pokud by kořen byl krátký, taková rekonstrukce by byla nebezpečná - mohla by se zlomit. Ale u tohoto zubu je šance na úspěšnou rekonstrukci až 80 %, pokud je kořen zdravý a nezánětlivý.

Naopak, pokud máte poškozený zub s krátkým kořenem - třeba některý z molárů - a ztratíte většinu korunky, často už není možné ho zachránit. Tam se často musí přistoupit k odstranění a následnému implantátu. Ale u centrálního řezáku máte šanci - pokud včas přijedete k zubaři.

Srovnání dlouhého kořene horního řezáku s krátkými kořeny molárů v čelisti.

Když se kořen poškodí - co dělat?

Nejčastější příčiny poškození kořene jsou:

  • Bruxismus (skřípání zuby během spánku)
  • Chronickej zánět dásní (paradentóza)
  • Špatná hygiena - když se tvoří kámen a zánět pod dásní
  • Travma - dopad, úraz, zlomenina
  • Neúspěšná endodontická léčba - když se infekce nevyléčí úplně

Pokud se vám objeví bolest při kousnutí, citlivost na teplotu nebo zvýšená pohyblivost zubu, nečekáte. Tyto příznaky mohou znamenat, že kořen je poškozený. Zubař vám udělá rentgen - a uvidí, jak je kořen dlouhý, zda má zánět, zda je kost kolem něj rozpadlá.

Nejčastější léčba při poškozeném kořeni je:

  1. Endodontická léčba (kořenová kanálková léčba)
  2. Odstranění zánětu a vyčištění kanálku
  3. Vložení pilíře do kořene
  4. Postavení nové korunky

Pokud je kořen příliš krátký nebo zlomený, zubař vám doporučí extrakci. Ale u horního centrálního řezáku je to většinou poslední možnost. Většina případů se dá zachránit.

Co se děje s kořeny u dětí a dospívajících?

U mladých lidí je situace jiná. Trvalé zuby mají kořeny, které se vyvíjejí až do 18. roku života. Kořen centrálního řezáku se dokončuje obvykle mezi 14 a 17 lety. Pokud dítě ztratí trvalý zub před dokončením růstu kořene, může to ovlivnit vývoj čelisti a další zuby.

Proto je důležité, aby se děti pravidelně kontrolovaly u zubaře - nejen kvůli zubnímu kazu, ale i kvůli vývoji kořenů. Pokud se kořen nevyvine správně, může být zub nestabilní už v dospělosti. A to se často projeví až později - když zub začne být pohyblivý, a pak se ztratí.

Dentista vkládá pilíř do kořene zubu, symbolizující jeho zachránění.

Když ztratíte ten zub - co pak?

Pokud se horní centrální řezák ztratí, dopad je větší, než si většina lidí myslí. Nejen kvůli estetice - ale kvůli funkci. Tento zub je klíčový pro řeč, pro přesné kousání a pro udržení pozice ostatních zubů. Pokud ho ztratíte, zuby vedle něj se začnou přesouvat. Dásně se začnou zmenšovat. Čelistní kost se začne rozpadat - protože není stimulována žvýkáním.

Nejlepší řešení je implantát. Ten nahrazuje i kořen - a tím zastavuje rozpad kosti. Alternativou je most, ale ten vyžaduje pořezání sousedních zubů. A to není vždy dobré, pokud tyto zuby jsou zdravé.

Pokud máte možnost zachránit kořen - udělejte to. Nejen kvůli penězům - ale kvůli vašemu zdraví. Dlouhý kořen je vaše přírodní výhoda. Nezahazujte ji.

Co můžete dělat dnes, aby se váš kořen neztratil?

  • Čistěte si zuby dvakrát denně - a nezapomeňte na mezizubní prostor. Kámen se tvoří pod dásní, ne jen na povrchu.
  • Používejte niti nebo mezizubní kartáčky - zvláště u předních zubů, kde je kořen nejdelší a nejvíce zranitelný.
  • Nejedzte kyselé nápoje na noc. Kyselina rozpouští skloviny a způsobuje, že kořen je náchylnější k poškození.
  • Pokud skřípáte zuby, nechte si udělat ochrannou štětici. To je jedna z nejúčinnějších věcí, které můžete udělat pro vaše kořeny.
  • Chodíte na pravidelné kontroly - každých 6 měsíců. Zubař uvidí první příznaky poškození, dřív než to budete cítit.

Nejdelší kořen v ústech není jen zajímavostí z biologie. Je to váš přírodní klíč k udržení zubu po celý život. A když ho chráníte, chráníte i svou schopnost jíst, mluvit a usmívat se bez obav.

Který zub má nejdelší kořen v lidské čelisti?

Nejdelší kořen má horní centrální řezák. Jeho kořen měří v průměru 13 až 16 milimetrů - což je více než dvojnásobek délky kořene některých molárů. Tato délka je evolučně přizpůsobena jeho funkci - rozřezávání potravy a přenášení velkých sil při žvýkání.

Proč je délka kořene důležitá při opravě poškozeného zubu?

Dlouhý kořen poskytuje větší povrch pro uchycení pilíře nebo vložky, která podporuje novou korunku. Pokud je kořen dostatečně dlouhý a zdravý, zub lze často zachránit i po velkém poškození korunky. Krátký kořen by takovou rekonstrukci nevydržel - byl by zranitelný a mohl by se zlomit.

Co se stane, když se poškodí kořen zubu?

Poškozený kořen může vést k zánětu, infekci nebo ztrátě zubu. Pokud je infekce včas léčena, lze ho zachránit pomocí kořenové kanálkové léčby a vložení pilíře. Pokud je kořen zlomený nebo kost kolem něj zničená, zub často musí být vytažen.

Je možné zachránit zub s poškozeným kořenem bez implantátu?

Ano, pokud je kořen zdravý a dostatečně dlouhý. U horního centrálního řezáku je šance na úspěšnou rekonstrukci až 80 %. Léčba zahrnuje endodontickou léčbu, vložení pilíře a postavení nové korunky. Implantát je možnost, pokud kořen nelze zachránit.

Jak se dá předcházet poškození kořene zubu?

Předcházet poškození kořene pomáhá pravidelná hygiena - čištění zubů, niti, mezizubní kartáčky. Důležité je také vyhýbat se kyselým nápojům, používat ochrannou štěticí při skřípání zubů a chodit na pravidelné kontroly k zubaři každých 6 měsíců. Tyto kroky zabraňují tvorbě kamenů a zánětů, které poškozují kořen.

Napsat komentář