Jak zachránit zubní sklovinu po bělení zubů

led 24, 2026

Jak zachránit zubní sklovinu po bělení zubů

Jak zachránit zubní sklovinu po bělení zubů

Zdraví zubní sklovinu: Náš kalkulátor rizika po bělení

Zadejte své zvyky a zjistěte riziko poškození zubní sklovinu

Vaše riziko poškození zubní sklovinu

0
Nízké riziko
Vaše ústní hygiena je v pořádku. Pokračujte v pravidelném čištění zubů a používejte pastu s hydroxyapatitem.

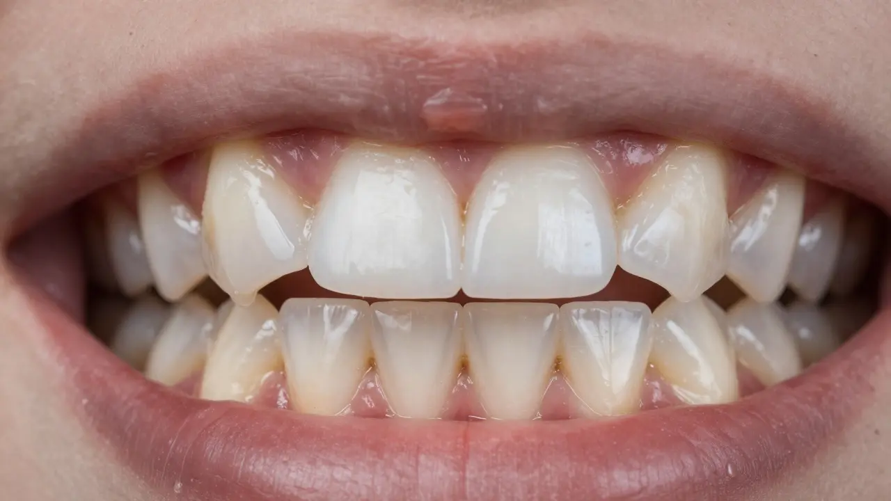
Nejspíš jste si někdy řekli: „Chci bílé zuby, ať už to stojí cokoli.“ A pak jste si nechali bělit zuby - a několik dní poté jste si všimli, že zuby začínají citit na studené nebo horké nápoje. Možná jste i cítili, že některé zuby jsou „jemnější“ než jindy. To není náhoda. To je zubní sklovinu - a může být poškozená.

Co je vlastně zubní sklovinu a proč je důležitá?

Zubní sklovinu je nejtvrdší tkáň v lidském těle. Je to ten bílý, skleněně lesklý povrch, který chrání vaše zuby před bakteriemi, kyselinami a mechanickým poškozením. Když je sklovinu poškozená, pod ní se nachází dentin - měkčí vrstva, která obsahuje nervy. A to je ten moment, kdy začíná bolet.

Nejčastější příčinou poškození skloviny dnes není cukr nebo špatná hygiena - ale bělení zubů. Mnoho lidí si myslí, že bělení je jako čištění - něco, co se udělá a je to. Ale ve skutečnosti je to chemický proces, který otevírá mikrotrhliny ve sklovině, aby se barviva mohla vysát ven. Pokud se to dělá příliš často, příliš silnými přípravky nebo bez odborné kontroly, sklovinu začne být tenká a křehká.

Co se stane, když zubní sklovinu ztratíte?

Ztráta sklovinu není obnovitelná. Tělo nemůže vyrobit novou. Když se sklovinu odtáhne, zuby nejen cití, ale také vypadají jinak - mohou být matné, šedivé nebo přímo průhledné na hranách. Někdy se pod ní začnou projevovat žluté skvrny, protože dentin je žlutější než sklovinu.

Podle studie z Journal of Esthetic and Restorative Dentistry z roku 2024 má až 42 % lidí, kteří se nechali bělit zuby doma pomocí přípravků z lékárny, po třech měsících známky poškození sklovinu. U těch, kdo se nechali bělit v ordinaci, byl podíl nižší - 18 % - ale i tam se problém vyskytoval.

Proč domácí bělení zubů je nebezpečnější?

Domácí bělicí přípravky - pásy, gely, světla, „kapsle“ - mají jednu věc společnou: nevíte, kolik peroxidu je v nich. V ordinaci se používají přípravky s přesně danou koncentrací - obvykle 10-16 % peroxidu vodíku. Domácí přípravky mohou obsahovat 20 % nebo více. A nejen to - lidé je často používají déle než je doporučeno. Někdo si pásy nechá na zubech celou noc. To je jako nechat kyselinu na skle - až se vám rozpadne.

Navíc, pokud máte křivé zuby, zubní kámen nebo otevřené zubní dásně, bělení může být ještě nebezpečnější. Kyselina se dostane do míst, kde nemá být - a tam začne ničit sklovinu tam, kde ji nemůžete vidět.

Řez zubem s mikrotrhlinami způsobenými bělením a chemickými látkami.

Co dělat, abyste zubní sklovinu zachránili?

Nejlepší způsob, jak zachránit sklovinu, je ji vůbec neztrácet. A to znamená:

  1. Nechte si bělení zubů udělat u zubního lékaře. Odborník si nejprve prohlédne vaše zuby, zkontroluje stav sklovinu a dásní a vybere nejbezpečnější metodu. Pokud máte tenkou sklovinu, může doporučit jiný přístup - například kompozitní plomby nebo keramické vložky.
  2. Nepoužívejte bělicí přípravky častěji než dvakrát ročně. Většina výrobců doporučuje „jedno bělení za 3 měsíce“. To je nebezpečný nesmysl. Dva roční bělení jsou plně dostačující - a to jen pokud vaše zuby nejsou příliš citlivé.
  3. Používejte zubní pastu s fluoridem a hydroxyapatitem. Fluorid pomáhá zpevňovat sklovinu, ale hydroxyapatit - to je minerál, který je skutečnou součástí vaší sklovinu - dokáže ji dokonce obnovit na mikroúrovni. Vyhýbejte se pastám s agresivními čisticími látkami jako je karbonyl nebo peroxid.
  4. Nečistěte zuby ihned po jídle, pokud jste jeli kyselé potraviny. Citron, káva, víno, ovoce - všechny tyto věci zvlhčují sklovinu. Pokud ji hned čistíte, škrábáte ji. Počkejte alespoň 30 minut.
  5. Používejte měkké kartáčky a správnou techniku. Nečistěte zuby jako byste škrábali hrnec. Pohybujte kartáčkem jemně, kruhově. Příliš silné škrábání je další hlavní příčina ztráty sklovinu.

Co dělat, pokud už máte poškozenou sklovinu?

Než se ztratíte v pánici - záleží na tom, jak moc je poškozená. Pokud jen citíte zuby na studené, může stačit:

  • Zubní pasta s hydroxyapatitem - používejte 2x denně po dobu 3-6 měsíců.
  • Profesionální aplikace fluoridového gelu v ordinaci - jednou za 3 měsíce.
  • Odstranění kávy, černého čaje a červeného vína na 2-3 týdny - nejen kvůli barvě, ale aby sklovinu měla čas se zpevnit.

Pokud je sklovinu vážně poškozená - například vidíte průhledné hrany zubů nebo máte trvalou citlivost - je třeba odborné řešení. Zubní lékař vám může navrhnout:

  • Kompozitní výplně - na okrajích zubů, kde je sklovinu ztracena.
  • Keramické vložky (inlay/onlay) - pokud je poškození větší.
  • Zubní korunky - jen v extrémních případech, kdy už není co zachránit.

Nezapomeňte: žádný z těchto postupů nevrátí vaši sklovinu zpět. Ale všechny je mohou chránit před dalším poškozením a zlepšit vzhled.

Zlaté částice hydroxyapatitu obnovují poškozenou zubní sklovinu.

Co se děje s těmi, kdo se bělí zuby „na dlouho“?

V naší ordinaci v Ostravě máme pacienty, kteří se bělili zuby každý měsíc po dobu tří let. Výsledek? Zuby jsou jako „papír“. Průhledné, křehké, citlivé. Někteří z nich už nemohou jíst zmrzlinu bez bolesti. A nejhorší je, že už nemohou být znovu běleni - protože by to způsobilo další poškození.

Největší chyba? Věřili, že „čím bílejší, tím lépe“. Ale bílé zuby bez sklovinu nejsou krásné - jsou zranitelné. A to je vlastně něco, co nikdo neříká: bělení zubů není estetická procedura. Je to lékařský zákrok. A jako každý zákrok - má rizika.

Je bělení zubů vůbec bezpečné?

Ano - ale jen pokud je provedeno správně. Pokud se bělíte jednou za dva roky u lékaře, používáte správnou pastu a nejíte kyselé věci hned po čištění - vaše sklovinu zůstane celá. Mnoho lidí má bílé zuby a zároveň zdravou sklovinu. Stačí jen vědět, jak to dělat.

Zubní sklovinu není možné obnovit. Ale můžete ji chránit. A to je jediná pravda, která vás uchová v bílých zubech - a bez bolesti - ještě několik desítek let.

Může bělení zubů poškodit zubní sklovinu trvale?

Ano, pokud se používají příliš silné přípravky, příliš často nebo bez odborné kontroly. Sklovinu se neobnovuje, a proto každé poškození je trvalé. Nejčastější příčinou je domácí bělení s vysokou koncentrací peroxidu vodíku.

Je lepší bělit zuby v ordinaci nebo doma?

V ordinaci je bezpečnější. Lékař zkontroluje stav vašich zubů, zvolí správnou koncentraci bělícího prostředku a sleduje, zda nevznikají vedlejší účinky. Domácí přípravky jsou často příliš silné a nejsou přizpůsobeny vašemu ústnímu prostředí.

Jak poznám, že mám poškozenou sklovinu?

Znaky zahrnují: citlivost na teploty, matný vzhled zubů, průhledné hrany, žluté skvrny na zubech (kde se projevuje dentin), nebo pocit, že zuby jsou „jemnější“. Pokud si něco takového všimnete, jděte k zubnímu lékaři.

Může fluorid opravit poškozenou sklovinu?

Fluorid pomáhá zpevňovat sklovinu a zpomaluje její rozpad, ale nevrací ztracenou tkáň. Pro opravu mikrotrhlin a obnovu minerálů je efektivnější hydroxyapatit - minerál, který je součástí vaší sklovinu.

Jak dlouho trvá obnova sklovinu po bělení?

Sklovinu se neobnovuje - ale její minerální struktura se může zpevnit. Pokud používáte hydroxyapatitovou pastu a vyhýbáte se kyselým potravinám, můžete za 2-4 měsíce zlepšit odolnost sklovinu. Ale nečekáte, že se vrátí zpět do původního stavu.

Napsat komentář