Jak poznat hluboký káž? Praktický průvodce pro každodenní péči o zuby

bře 24, 2026

Jak poznat hluboký káž? Praktický průvodce pro každodenní péči o zuby

Jak poznat hluboký káž? Praktický průvodce pro každodenní péči o zuby

Test na hluboký káž

Otestujte se

Zkontrolujte, zda máte některý z příznaků hlubokého káže. Je to důležité pro včasné zjištění.

Stává se vám, že si v zrcadle všimnete tmavé čáry mezi zuby, která vás znepokojuje? Nebo se vám při čištění zubů někdy zastaví kartáček, jako by narazil na něco pevného? To může být hluboký káž - a nejde o žádnou náhodu. Je to první známka, že vaše ústní hygiena potřebuje upravení. A ne, není to jen „něco, co se vyčistí na návštěvě u zubaře“. Hluboký káž je aktivní proces, který se postupně rozvíjí - a čím dříve ho poznáte, tím méně potřebujete zubaře.

Co je to vlastně hluboký káž?

Hluboký káž není jen „špína“ na zubech. Je to ztuhlý, vápenitý nános, který vzniká, když se zubní plak neodstraní pravidelně. Plak je ten měkký, lepkavý film, který se tvoří na zubech každý den. Když ho neodstraníte během 24-48 hodin, bakterie v něm způsobí mineralizaci - a plak se promění v káž. Ten, co je blízko k dásni, se nazývá povrchový káž. Ten, co se posune pod dásňový okraj, je hluboký káž.

Největší problém? Hluboký káž se neodstraňuje kartáčkem. Ani nejlepším. Ani nejdražším. Je to jako byste chtěli vyčistit kámen z betonu štětcem na šatník. Nelze to. A to je důvod, proč ho musíte poznat dříve, než se rozšíří.

Jak ho poznat - 5 jasných příznaků

Není potřeba být zubařem, abyste rozpoznali hluboký káž. Stačí si všímat následujících věcí:

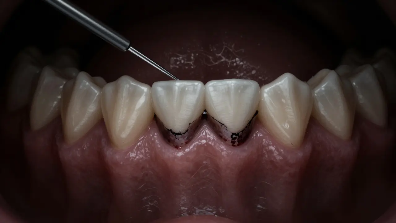
  1. Černá nebo hnědá čára u dásně - hlavně na předních zubech nebo na vnitřní straně dolních řezáků. To není „zabarvení“ od čaje. To je káž.
  2. Zvětšené nebo červené dásně - když se dásně zvětší, zčervenají nebo krvácejí při čištění, je to signál, že pod nimi něco roste. Hluboký káž je zde, protože tam má přístup k krevnímu oběhu.
  3. Nepríjemný zápach z úst - i když si čistíte zuby, zápach zůstává. To není jen „z toho, že jsem se nevyspal“. Bakterie v káži vydávají plyny, které způsobují trvalý zápach.
  4. Nepravidelný cit při čištění mezizubních prostor - když používáte mezizubní kartáček a narazíte na „pevnou překážku“, která nejde vytlačit, je to káž. Nejde o zubní kámen, který je na povrchu. To je káž, který se zatáhl pod dásňový okraj.
  5. Zuby se zdají být „delší“ - když se dásně začnou stahovat (a to se děje kvůli káži), zuby vypadají, jako by se vám prodloužily. To je první příznak ztráty kosti kolem zubu - a to je už vážná věc.

Proč mezizubní kartáček nezvládne hluboký káž

Mezizubní kartáček je skvělý nástroj. Ale má své hranice. Je navržený pro odstranění plaku mezi zuby - ne pro odstranění káže, který je zatavený pod dásňovým okrajem. Když se káž vytvoří pod dásní, kartáček se k němu jednoduše nedostane. Je to jako snažit se vyčistit vodu z koryta, když je zablokované zevnitř.

Mezizubní kartáček může pomoci předcházet hlubokému káži - ale už ho neodstraní. Když ho používáte pravidelně, zabraňujete vzniku plaku. A když nevzniká plak, nevzniká ani káž. To je klíč.

Přeměna zubního plaku na káž pod dásní během 24 hodin, znázorněno symbolicky.

Co dělat, když podezříváte hluboký káž?

Neměňte si zuby sami. Nezkoušejte je „vyškrábat“ nástroji z internetu. A nečekajte, až vás to začne bolet - to už je pozdě.

První krok: Udělejte si vlastní kontrolu. Použijte zrcátko a světlo. Podívejte se na dásně u každého zubu. Hledejte tu černou čáru. Přiškrábněte jemně mezizubním kartáčkem. Pokud se vám „něco nehybá“, je to káž.

Druhý krok: Navštivte zubaře. Ne jako „když to už bolí“, ale jako preventivní návštěvu. Zubař použije speciální nástroj - sondu - kterou změří hloubku dásňového vaku. Pokud je hloubka větší než 3 mm, je to známka, že káž už začal poškozovat kost.

Třetí krok: Nechte provést skalpelování (tzv. „odstranění káže“). To není něco, co se dělá „jen tak“. Je to léčebný postup, který odstraňuje káž pod dásní. Někdy je potřeba i laserová léčba, ale to záleží na případu.

Co se stane, když to ignorujete?

Když hluboký káž necháte být, začne ničit kost kolem zubu. Kost se rozpouští - a zub se začne hýbat. To je paradentóza. A ta je nevratná. Jakmile kost zmizí, nejde ji vrátit. Zuby se začnou posouvat, vznikají mezery, zuby se mohou vypotřebovat, a nakonec - padají.

Nejhorší? Paradentóza je nejčastější příčinou ztráty zubů u dospělých - a to i větší než kámen na zubech. A není to jen o zubech. Výzkumy ukazují, že bakterie z káže mohou ovlivnit i srdce, cukrovku a dokonce děložní záněty. Je to celotělový problém.

Káž pod dásní způsobuje ztrátu kosti kolem zubu, zobrazeno jako postupné rozpouštění.

Jak předcházet hlubokému káži - 3 pravidla

Nejlepší léčba je prevence. A tady jsou tři věci, které fungují:

  • Čistěte zuby dvakrát denně - alespoň dvě minuty. Ne jen „před spaním“. Káž se tvoří v noci, kdy se sliny zpomalují. Pokud nečistíte zuby před spaním, plak se přemění na káž během noci.
  • Používejte mezizubní kartáček každý den - ne jen „když máte čas“. Nejlepší je před spaním. Vytlačíte plak, který se jinak zatáhl pod dásňový okraj.
  • Navštěvujte zubaře každých 6 měsíců - i když všechno vypadá v pořádku. Zubař vidí věci, které vy nevidíte. A většina káže je možné odstranit ještě předtím, než se začne šířit pod dásňový okraj.

Co dělat, když už máte káž?

Neztrácejte čas. Pokud jste si všimli příznaků, nečekajte na „příští rok“. Každý měsíc, co minul, znamená další 1-2 mm ztráty kosti. To je trvalé.

Nejčastější chyba? Lidé si myslí, že „když nebojí, není to zlé“. Ale káž nebojí. Káž jde jen dopředu. A když se rozšíří pod dásňový okraj, už nejde o „čištění“. Už jde o léčbu.

První krok je vždycky návštěva zubaře. Nejde o to, jestli máte peníze. Nejde o to, jestli máte strach. Je to o tom, abyste zachránili své zuby - a své zdraví.

Co dělat dál?

Pokud jste přečetli tohle a všimli si, že byste mohli mít káž - nechte si to zkontrolovat. Už teď. Ne zítra. Ne příští týden. Teď.

Mezizubní kartáček je váš nejlepší přítel - ale jen pokud ho používáte každý den. A když ho používáte, budete vědět, když se něco změní. A to je to, co vás zachrání.

Je možné odstranit hluboký káž doma?

Ne. Hluboký káž se nachází pod dásňovým okrajem, kde se nedostanou ani nejlepší domácí nástroje. Pouze zubař může odstranit káž pomocí speciálních sondu a skalpelů. Pokusy o jeho odstranění doma mohou poškodit dásně a zuby.

Může mezizubní kartáček předcházet vzniku hlubokého káže?

Ano, a to velmi efektivně. Mezizubní kartáček odstraňuje plak z mezizubních prostor, kde se káž nejčastěji tvoří. Když plak nezůstává na zubech déle než 24 hodin, nevzniká káž. Pravidelné používání kartáčku je jedním z nejúčinnějších způsobů, jak se vyvarovat hlubokému káži.

Jak často bych měl používat mezizubní kartáček?

Každý den, ideálně před spaním. Když se během dne vytváří plak, je noc nejlepší dobou pro jeho hromadění. Pokud ho před spaním neodstraníte, přemění se během noci na káž. Používání kartáčku každý den snižuje riziko káže o více než 70 % podle studií z Ústředního ústavu stomatologie.

Je hluboký káž bolestivý?

Na začátku obvykle ne. Hluboký káž se tvoří bez bolesti - což je jeho nejnebezpečnější vlastnost. První příznaky jsou červené dásně, krvácení nebo zápach. Bolest nastává až tehdy, když káž poškodil kost a zub se začíná hýbat. To už je pozdě.

Je možné, že káž vznikne i u lidí, kteří si čistí zuby?

Ano. Mnoho lidí si čistí zuby, ale nečistí mezizubní prostory. Káž se nejčastěji tvoří právě tam, kde kartáček nedosáhne - mezi zuby a pod dásně. Bez používání mezizubního kartáčku nebo nitek je riziko káže vysoké, i když se zuby čistí.

Napsat komentář